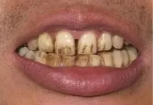
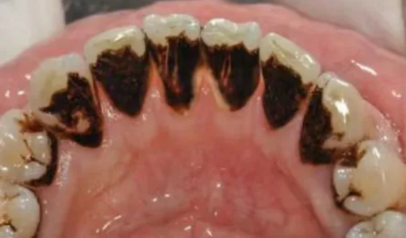
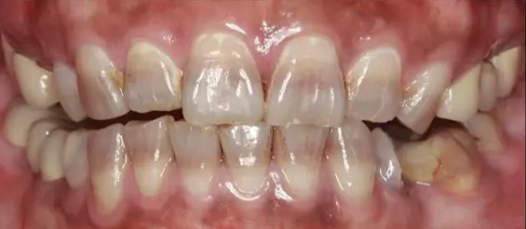
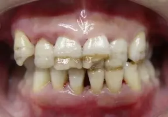
牙齿美白您可以这样做
来源 : 江门市口腔医院
发布日期:
2025-04-28
字体 :
[大]
[中]
[小]




















编辑:林俊宁